爱美做烤瓷牙,毁了半口牙!终于喜获半口真牙
麦芽智能AI在线 · 点击咨询 来源:麦芽糖编辑社 更新:2020-01-09 17:23
*说明:文章信息仅供参考,不作为临床口腔医学诊断依据。
过去的困扰
身边不少小年轻都美白牙齿,长达十年的血泪教训告诉我,科学方法、专业口腔太重要了,宣称7天牙齿美白的方法,千万别尝试,它让我感受到“有牙不能吃、牙疼又口臭”是多么痛苦的事,最终我不得不下决心拔掉半口残根烂冠,通过种上半口牙齿来重拾后半生的口福。
十年前的香港,烤瓷牙非常流行,它宣传能7天让牙齿变美变白,我也贪靓做了半口,无知的我厚厚把牙齿全打磨了,当时技术有限,不仅牙冠白的不自然,而且有金属线,烤瓷冠的边缘和我的牙齿密合不严,这十年来,我都是在反复的牙疼、敏感和口臭中度过,烤瓷牙冠给我带来的美丽远不如痛苦持久,这是我最后悔的是一件事。


在香港找了很多的口腔诊所,都说我的牙齿“病入膏肓”,要治疗的话只能全部拔掉种植,香港的消费实在很贵,所以我决定到深圳看看。好在遇到了深圳口碑比较好的口腔医院,他们帮我拆除了烤瓷牙冠,经过系列严苛检查,很耐心的跟我沟通牙齿问题,牙周炎症、蛀牙、牙髓炎等问题让我的牙齿已走到了末路,这被烤瓷牙吞噬的健康与口福,只能通过拔牙再种牙的方式来解决了。
改变开始
术后第5天
说实话,比起便宜的活动假牙和镶牙,我考虑更多的是后半生的口福,当然半口种植牙的费用肯定不便宜,在香港时,我比较过不少医院,收费不菲而且方案实在不满意,在这家口腔医院,“以少种多+马上有牙”的方案让我很心动,不仅减少了种植体的用量、价格便宜,而且我不需要去忍受半口无牙的“空窗尴尬期”,这次来深圳,真的没有白来!

今天要做的第一件事,就是把半口的烤瓷牙冠全部拆掉,然后做了洗牙和局部上药消炎,等炎症控制好了以后,再说拔牙和种牙,医生跟我说,如果牙周炎症不做处理,口内的细菌太多拔牙后会出现感染,洁牙的过程很舒服,洁牙师和助理搭配,洗的很细心。身边不少朋友都担心洁牙会让牙齿变松,我到今天才明白,牙结石是造成我牙周炎症的主要原因,烤瓷牙是导致我根尖周炎的罪魁祸首,哎……强烈建议大家日常的口腔保健,1年两次洁牙还是要做起来的,积极的预防比后期的治疗更重要!洁牙完牙齿会更干净,口气也会清新不少。
术后第14天
准备和烂牙说再见了,准备手术还是很紧张,手术在无菌室内进行,局麻后我能感知医生在口内的操作,开始心跳很快,我真的很怕拔牙,但不得不说医生的手艺好,没有我想象中的“敲砸撬”,就是觉得牙齿一酸一紧,就出来了。

拔牙后医生冲洗了我的拔牙窝,后来就是种植体植入了,整个种牙的时间一个小时,我很安心的是种牙全程都有导航在检测医生的植入位置,根本不怕种植体会种歪,另外,我拔牙的数目比较多,术前医生跟我说,会植入些骨粉骨膜,这样牙槽骨和种植体能更好的愈合在一起,以后就会更稳固。
为了帮我马上戴牙,术后医生重新给我取了牙模,戴上临时树脂牙冠后重新调整了咬合关系,这样术后吃喝就没有问题了,来这种牙之前我也对“即刻用、当天用”抱有怀疑,亲身经历后方知确有其事。

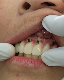
在给我戴临时冠之前,医生让我重新拍了CT,为了检测种植体植入的位置是否有便宜,咬合关系是否有出问题,通过牙片不得不说医生种的“很正”,种牙后我在用冰袋冷敷自己的创口,毕竟种牙的颗数有点多,要说一点不适感都没有那肯定是骗人的,哈哈。上面是我种牙之前的CT,下面是现在刚种完的,我还是很满意的,下面有两个看着发白的牙齿,是我下排根尖周炎的牙齿,后期再说治疗。

最下面是咬合架,医生给我做临时冠的时候,一点点细心的再调整咬合关系,咬合要是不对,牙齿是没办法吃东西的,这个我深有体会,10年前的烤瓷牙桥,随着我牙齿的移位,慢慢和下颌的牙齿对不上了,我已经吃了很多年的流食、软食了…医生给我带好临时牙之后,这个种植算完成了第一阶段了!后期需要等种植体彻底愈合后,做永久的修复。
对我而言,种牙和戴冠一天完成,没有无牙的尴尬期,已经很满足了,感恩医生护士们。
术后第28天
种牙过去半个多月了,前七天略微有点肿,创口都在愈合,现在基本没有不适感了,照常的清洁与打理,从今天开始可以处理剩下的坏牙了,我有夜间磨牙的症状,所以下排牙齿多少都有磨损,还有个别牙齿需要根管治疗,这漫长的种牙补牙之旅,都是十年前酿成的啊。我现在开始头疼下面这些烂牙了,有磨损严重的,有根尖周炎的……医生跟我说,让我做个磨牙垫戴上,不然以后牙齿磨损会更严重,也不利于延长种植牙的寿命。如果你们也有夜间磨牙的情况,建议也带个磨牙垫,不贵,但是能保护牙齿。

题外话:上次提到洁牙,有收到不少私信,问我洁牙的一些问题,最常见的就是“洁牙会不会让牙缝变大”啊,其实以前我也担心这个问题,但后来医生跟我说,其实牙齿之前本来就有缝隙,只是当牙结石堆砌多了,把缝隙填满了,而且结石越来越多,还会把牙龈往下压,最后牙齿就会敏感了。所以,大家不要怕洁牙有副作用,选对医院就好了。
今天我想给大家分享下种牙后的护理事项,帮大家更快度过适应期,有助于延长种植牙的使用寿命。
1、种牙术后快速止血的办法:先咬止血棉球30分钟,术后48小时内口水中带血丝是正常的,如果48小时过后口水还是完全红色,那就可能继发出血,这时候别等了要快回医院处理。
2、术后2小时后(麻醉消散后)是可以吃流食的,虽然说是拔牙即刻用,但其实种植体和牙槽骨没有愈合好,太硬的食物肯定会松脱的,温度也要适宜,你们可以看下图,种植体植入后,还需要基台和临时冠,没有稳固结合的种植牙,吃不了硬物。
3、关于种植牙术后能不能漱口,24小时内不要刷牙及过频用力漱口,这点和拔牙一样,否则可能会继发性出血。
4.想要缓解种牙的疼痛怎么办?术后24小时冷敷,48小时后热敷,每次约10分钟,每日4~5次,可以减轻肿胀疼痛。
当然,这些小常识,都是种牙的医生告诉我的(为了保护医生的隐私,我就不透漏个人信息了),我离开后,他们给了我一张非常详细的护理便签,还时不时有工作人员询问我的恢复情况,所以说,种牙选医院实在太重要了。
术后第291天
经过几次来回看牙,终于迎来了新的种植牙冠。我先后经过了取模,调整咬合,上颌种植冠现在做好了,可以在今天完成佩戴,你们看下是不是很逼真?没种牙之前我也不懂为什么的牙齿不好吃东西,总是感觉咬不动、嚼不烂,后来知道咬合没对上,就像齿轮扣不上,医生给我佩戴种植冠之后,还精细的调整了咬合关系,以后终于可以想吃就吃了。


身边不少朋友都有缺牙的情况,但是还在纠结种植牙的费用,就我亲身经历来分享下我的手术费用吧。如果你们不知道我种了多少颗,可以往前看看我的CT片,就一目了然了。
我的种植牙费用构成比较复杂,有材料费比如种植体、基台和牙冠,有手术费比如我这种即拔即种等,而且我的情况很复杂,有不良修复体导致的骨量萎缩,所以还用了骨粉和骨膜,但总体全部加起来,我感觉比香港的收费要便宜很多,加上医生很负责,种牙的技术也很让我满意,所以我真的感觉这钱花的很值……

当然我的种牙情况比较特殊,不是因为缺牙种牙,而是错误的选择了美牙的手段,哎,缺牙的你们,要是想省钱,还是趁早种牙吧,不仅材料用的少,也能避免手术难度增加。
*提交信息后,工作人员将致电回访,与您确定到院时间,小麦为您自动排号,为您节省看牙的时间。












转载
咨询














































